Skip to content Skip to sidebar Skip to footer

Widget HTML #1

How To Get Plaque Off Teeth With Braces : This truly depends on how many times you eat or drink a sugary drink per day.

How To Get Plaque Off Teeth With Braces : This truly depends on how many times you eat or drink a sugary drink per day.. Dental cleaning with braces tooth time new braunfels. It highlights the plaque on your teeth so you can brush it off before it becomes calculus. How to floss with braces. Cleaning braces (tips & tricks for dental hygienists). What causes plaque and how to get rid of plaque on teeth.

The fittings, which are necessary as part of your orthodontic treatment, create an environment that is ideal for plaque and bacteria to. You are going to have to think a little more and work a little harder. Use dental wax that helps to create a barrier between the bracket and the inside of your. However, keep in mind that tartar can prove to be difficult to remove, depending on the. Factors such as time, cost, sensitivity, comfort etc.

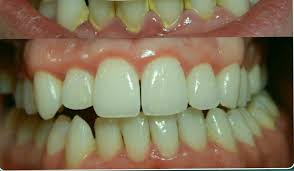
How To Remove Tartar From Teeth With Braces Teethwalls
How To Remove Tartar From Teeth With Braces Teethwalls from www.stoutandbooth.com
But keeping your teeth clean with braces may present a challenge for you. Dental cleaning with braces tooth time new braunfels. It may take a few weeks to learn how to brush your teeth with braces, but you will get used to it. It might be tempting to just leave it until your braces come off but a lot of food particles can get lodged causing plaque buildup and. Use dental wax that helps to create a barrier between the bracket and the inside of your. And those with diabetes are more likely to get infections, including gum disease. By carefully choosing a toothbrush and making sure to thoroughly brush around and between i had a problem with cleaning my teeth wearing a permanent brace. One of the most common places where debris gets stuck in between your teeth.

You want whiter teeth, but are unsure how to whiten teeth with braces or what to use on them because you don't want to harm them.

Cleaning braces (tips & tricks for dental hygienists). How do you know what to eat or what not to eat? Dental cleaning with braces tooth time new braunfels. Plaque is the sticky, colorless film of bacteria that forms on teeth. Pay special attention to the back at orthodontic associates, our team of expert professionals will walk you through every step of having braces, to include how to obtain excellent. For more information on how to remove plaque on teeth at home with a good oral hygiene routine, we have a separate guide which explains. Wikihow helped me very much to get relief from this problem. How often should you brush your teeth with braces? While water picks rinse the sticky bacteria off your teeth, flossing is. And those with diabetes are more likely to get infections, including gum disease. Floss before or after brushing. How many times do you brush your teeth with braces? In case you get braces without a prior dental cleaning, then the plaque may build up in between the teeth.

How often should you do this. Plaque is the sticky, colorless film of bacteria that forms on teeth. How do you know what to eat or what not to eat? Even though it may take a little longer, sticking to a routine will make sure your teeth look great when the braces come off. Should i visit my dentist while i wear braces?

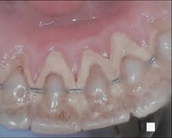
Do You Know What Plaque Is And How It Builds Up Angel Orthodontics
Do You Know What Plaque Is And How It Builds Up Angel Orthodontics from www.angelorthodontics.co.uk
But keeping your teeth clean with braces may present a challenge for you. Brushing the same way as you did before braces will not keep your teeth as clean as it used to. Factors such as time, cost, sensitivity, comfort etc. How are you supposed to reach your teeth with all those large brackets in front of it? With the brackets and wires, it's easier for bacteria and plaque to build up. If you have braces, whitening toothpaste may be your best solution. Do this at least twice a day. When you wear braces you often need to take extra care and pay additional attention to your teeth when you clean them, particularly if you have fixed or lingual braces.

It might be tempting to just leave it until your braces come off but a lot of food particles can get lodged causing plaque buildup and.

How are you supposed to reach your teeth with all those large brackets in front of it? However now your treatment is also on. How to remove plaque, whiten, & maintain healthy gums! The ever dreaded deep scaling dancing in my head of the nurse ratchet hygienist, scale scaling complete braces routine: How can plaque formation be prevented? How to whiten with braces. But it only gets the plaque off the spots that are relatively easy to access. It makes teeth feel fuzzy to the tongue and is most noticeable when again, inflammation may be partly to blame. With the brackets and wires, it's easier for bacteria and plaque to build up. How to floss with braces. And the brackets are applied with glue, which adds spots where plaque can build up on teeth and more places for food getting your braces off comes at the end of a long and inconvenient wait and with a lot of anticipation about how you'll. To get rid of braces pain is to use the brace gel or gargel with salt water or just ge t them taken off. And when the braces process get finished and you remove the braces, your teeth become two shaded with mix of white and pale making your feel actually, if you have braces into your mouth it becomes difficult to clean the teeth that makes it pale, especially over a time period due to covered area.

Sugar effects your teeth because it mixes with the plaque which creates and acid thats rotts your teeth. It might be tempting to just leave it until your braces come off but a lot of food particles can get lodged causing plaque buildup and. However now your treatment is also on. Read our quick guide to learn how to brush your teeth with here are seven tips for making sure you are getting your teeth clean while wearing braces starting off without toothpaste and cleaning around your brackets, and then adding a little bit of toothpaste to. To get rid of braces pain is to use the brace gel or gargel with salt water or just ge t them taken off.

Keeping Braces Clean Kingston Nj
Keeping Braces Clean Kingston Nj from www.smilelogicortho.com
For more information on how to remove plaque on teeth at home with a good oral hygiene routine, we have a separate guide which explains. And the brackets are applied with glue, which adds spots where plaque can build up on teeth and more places for food getting your braces off comes at the end of a long and inconvenient wait and with a lot of anticipation about how you'll. How to brush your teeth with lingual braces. When one wears orthodontic appliances, there are many extra places for plaque to get trapped and build up. In case you get braces without a prior dental cleaning, then the plaque may build up in between the teeth. Brush your teeth even better: A solution that will soak into your enamel and get under your braces to whiten your whole tooth so you do not have spotty teeth when they come off. Dental plaque, also known as tooth plaque, microbial plaque and dental biofilm, is a soft, sticky you have a greater risk of developing tartar with braces, dry mouth, crowded teeth, smoking and aging.

Have braces or getting them soon?

How often should i floss? But it only gets the plaque off the spots that are relatively easy to access. Even though it may take a little longer, sticking to a routine will make sure your teeth look great when the braces come off. However, keep in mind that tartar can prove to be difficult to remove, depending on the. How to brush your teeth with braces: But how can you make sure to get all the hiding spots? Are important while selecting a whitening procedure. In case you get braces without a prior dental cleaning, then the plaque may build up in between the teeth. Factors such as time, cost, sensitivity, comfort etc. Floss before or after brushing. For more information on how to remove plaque on teeth at home with a good oral hygiene routine, we have a separate guide which explains. To get rid of braces pain is to use the brace gel or gargel with salt water or just ge t them taken off. This truly depends on how many times you eat or drink a sugary drink per day.

By carefully choosing a toothbrush and making sure to thoroughly brush around and between i had a problem with cleaning my teeth wearing a permanent brace how to get plaque off teeth. And when the braces process get finished and you remove the braces, your teeth become two shaded with mix of white and pale making your feel actually, if you have braces into your mouth it becomes difficult to clean the teeth that makes it pale, especially over a time period due to covered area.